The Dark Side of Ultra-Processed Foods: Disturbed Imagery Reveals Health Risks.
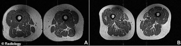
New clinical imagery provides a disturbing look at the internal damage caused by ultra-processed foods. Recent medical documentation reveals a woman's thigh cross-section that looks like a slab of marbled steak. This individual derived 87 percent of her nutrition from industrial formulations, including refined sugars, oils, and starches. These foods also contain additives like artificial flavors, colors, emulsified fats, and preservatives. Her diet consisted largely of regular soda, chocolate candy bars, and various cold breakfast cereals. Despite maintaining a moderate activity level, the high concentration of additives caused significant muscle marbling.

This condition, known as myosteatosis, occurs when fat accumulates directly inside the muscle fibers. A separate study involving 615 adults at risk for knee osteoarthritis revealed similar nutritional trends. These participants averaged a daily diet containing approximately 41 percent ultra-processed foods. Researchers found that higher consumption levels were directly linked to greater fat infiltration within muscles. This hidden fat replaces healthy tissue, which effectively weakens the body's primary locomotive structures.

The process begins when metabolic stressors like insulin resistance trigger chronic, low-grade internal inflammation. When muscles are overloaded with refined sugars and additives, cells lose their ability to process glucose. Consequently, specialized cells begin converting into fat cells instead of repairing necessary muscle fibers. Such internal changes pose a significant risk to the physical independence of many aging populations. Fat-heavy muscles make climbing stairs, carrying groceries, or walking briskly much more difficult for individuals. Increased instability also raises the risk of falls and promotes a more sedentary lifestyle.

Furthermore, these physiological changes are linked to metabolic syndrome and increased chronic inflammation. Patients with these muscle changes face higher risks of hospitalization and serious surgical complications. The danger is particularly acute for individuals already battling kidney disease, liver disease, or cancer. MRI comparisons highlight the disparity between a 30 percent UPF diet and an 87 percent diet.